...

Красіліч Тетяна Олександрівна

Ортодонт

1.12.1995
Закінчила ВНМУ ім . М. І. Пирогова у 2017 за спеціальністю лікар -стоматолог . У тому ж році поступила до ординатури за спеціальністю стоматолог - ортодонт до МГМСУ ім . Євдокимова ( Росія) , закінчила у 2019 році . У 2022 році закінчила Полтавську стоматологічну академію ( підтвердження спеціальності ортодонта).
В галузі ортодонтії з 2015 року , серед здобутків : відвідування десятків курсів , семінарів та навчальних майстер-класів , модульне 3-х річне навчання у Резаі Хаміда . Диплом ортодонта міжнародного зразку , більше 5-років працювала у м . Львів . Найбільш значущим у формуванні як спеціаліста стало навчання на ординатурі , де мала змогу працювати з ортогнатичною хірургією та гнатологією.

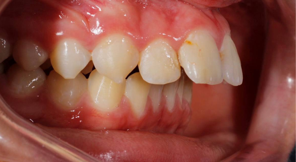
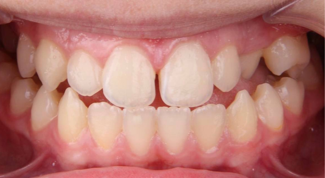
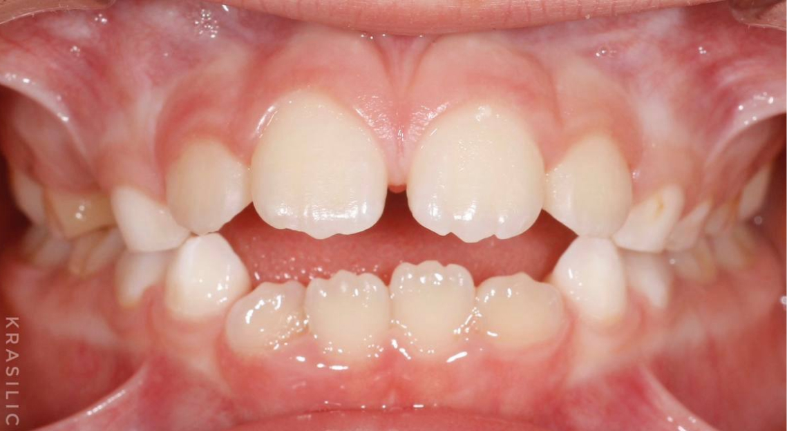
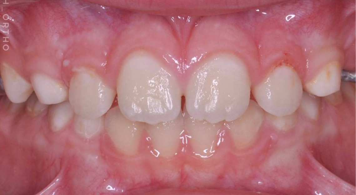
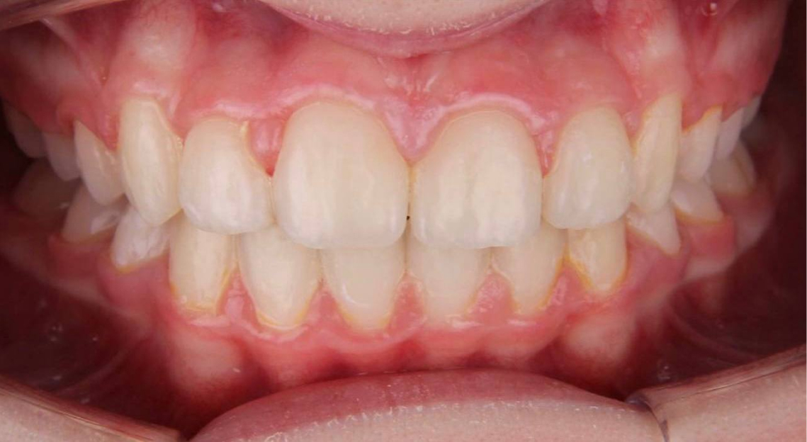
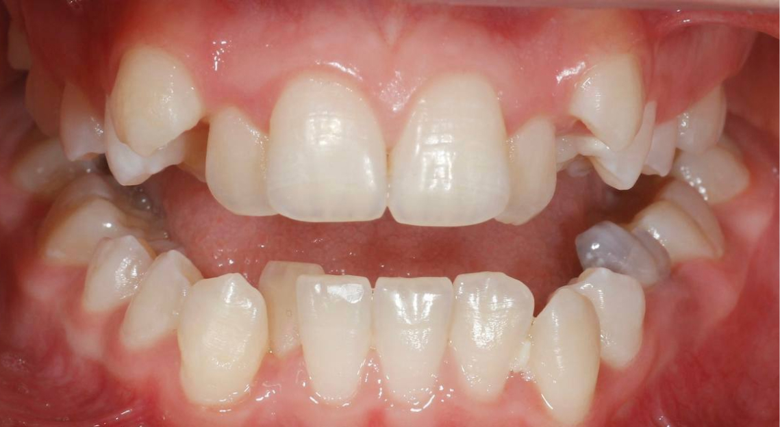
Кейс №1

Лікування за допомогою брекет -системи металевої лігатурної

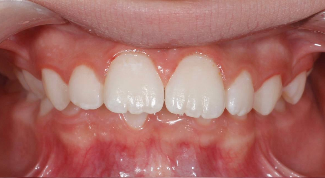
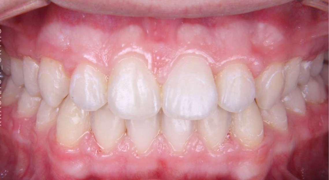
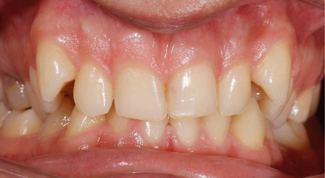
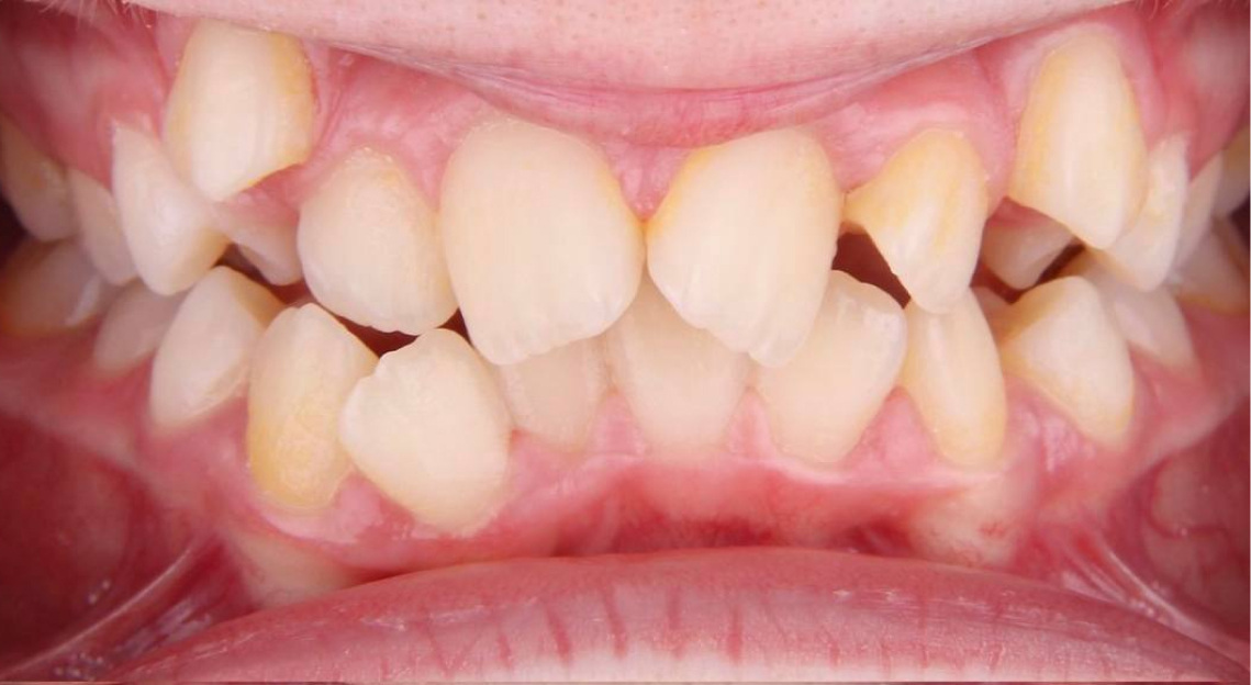
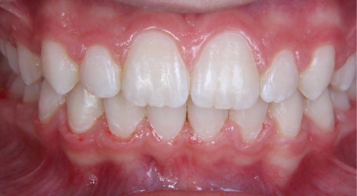
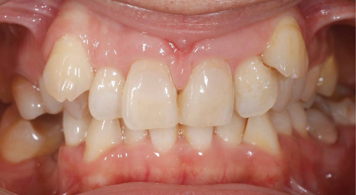
Кейс №2

Лікування за допомогою брекет -системи металевої лігатурноі

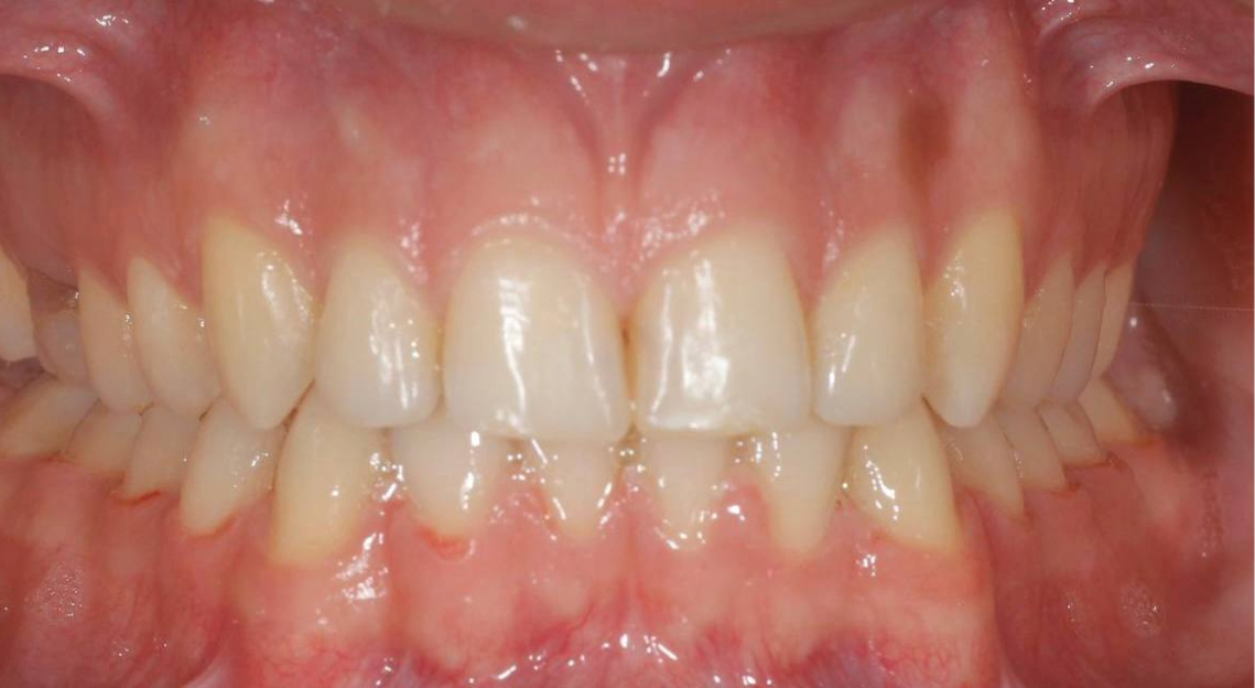
Кейс №3

Лікування за допомогою функціонального апарату Твін-Блок та металевої лігатурної брекет -системи

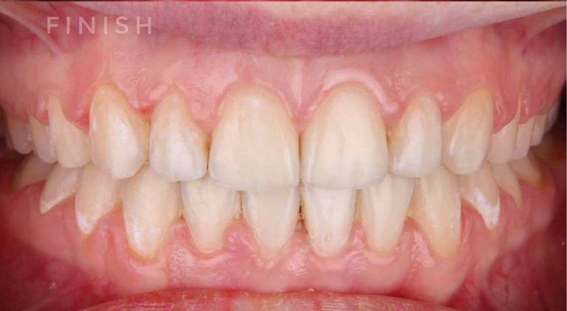
Кейс №4

Лікування за допомогою скелетного розширення верхньої щелепи та інтрузії бічних верхній зубів . Металева лігатурна брекет -система

Кейс №5

Дитяче лікування за допомогою незнімного апарату для розширення верхньої щелепи та коректорів шкідливих звичок

Кейс №6

Лікування за домогою функціонального апарату Твін-Блок з наступною фіксацією брекет - системи металевої лігатурної

Кейс №7

Лікування з видаленням 2-х премолярів на верхній щелепі . Металева самолігуюча брекет-система

Кейс №8

Лікування без видалення зубів , з дисталізацією верхніх бічних зубів та металевої брекет -системи

Кейс №9

Лікування зі скелетним розширенням , металева лігатурна брекет-система , та індивідуальна дуга MEAW

Прокрутка до верху

Зв’язатися з нами

Проконсультуйтесь щодо послуг центру або запишіться на прийом